3D细胞培养概述
当前的细胞生物学研究大多还是在二维平面培养进行,但科学家们逐渐发现2D细胞培养的局限性:在平面培养中细胞的生长方式、形态、分化、功能等与体内生理条件下存在明显差异。3D细胞培养为细胞提供更加接近体内生存条件的微环境,能够更好地模拟生理状态,从而获得与体内实验更加一致的实验结果。随着一些新的3D细胞培养技术在生物相关性、使用便利性和通量上的改进,3D细胞培养在基础研究和药物发现中的应用越来越广泛。

图:3D细胞培养与2D的比较
不依赖支架的3D细胞培养
贴壁细胞的天然特性就是易于聚集,并在有阻碍其贴附到培养底面时自发形成球体。常见的球体包括胚胎小体、乳腺球、肿瘤球、肝细胞球、神经球等。常见的制备3D细胞球的无支架方法有:超低吸附表面的微孔板、悬滴法、旋转培养和磁力悬浮法。
细胞球内部具有氧气、营养物质、代谢废物的浓度梯度,能够模拟固态组织的多个特性,是研究实体瘤发生和干细胞分化的重要3D生理模型。同时,相比更复杂的3D模型,细胞球可以很方便地通过光学、荧光、共聚焦显微镜或高内涵系统等进行成像分析,同时更容易实现大小均一的大规模细胞球培养,适用于高通量筛选。

图. 不依赖支架的3D细胞培养:超低吸附表面的微孔板
康宁球形微孔板,提供了一种结果可靠、简便易行、兼容高通量筛选的3D培养方案。球形板具有独特设计的超低吸附表面,非常适合肿瘤细胞、干细胞、神经细胞等自发形成3D细胞球。孔的底部为U型,每一个孔仅形成一个细胞球。使用该培养板无需特别的处理和培养过程,按照常规的细胞培养方法,将细胞消化后接种到孔里,即可直接培养出3D细胞球。

图. 在球形板中培养24h的HT-1080细胞,Calcein AM (A), DiIC12(3) (B), merge (C)
基于支架的3D细胞培养
常见的3D细胞培养支架为细胞外基质。细胞外基质从组织中提取,主要由胶原、层粘连蛋白、巢蛋白及生长因子等成分构成,具有和天然组织非常相似的生物学、物理学特性,因而可以用作3D细胞培养基质。在一定条件下,细胞外基质形成具有生物学活性的三维基质,模拟体内细胞基底膜的结构、组成、物理特性和功能,构建与体内细胞微环境类似的机械特性和生理环境,利于体外细胞的生长、分化等功能的实现,可用于构建复杂的3D模型,如类器官。
用细胞外基质建立3D细胞培养有多种方法,可以将细胞和细胞外基质混合,使其被包裹在细胞外基质形成的水凝胶中,也可以如三明治法将细胞夹在水凝胶中。

图. 基于支架的3D细胞培养:细胞外基质
应用最广泛的细胞外基质支架为康宁Matrigel,上市30年以来已发表了上万篇文献,用其培养的3D类器官,如脑类器官、肝脏类器官、肠道类器官、肿瘤类器官等,已发表在Nature、Science、Cell等顶级刊物,被Nature Methods评为2017年度技术之一。

图. Matrigel培养的脑类器官 (Nature, 2013, 501(7467):373)
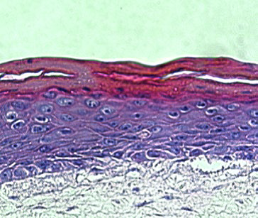
除生物学支架以外,固体支架或合成的支架,也可用于3D细胞培养。Transwell/Falcon细胞培养小室是一类底部带有多孔膜的特殊培养小室,将细胞培养划分成不同的培养空间,在3D细胞培养中,可以用于建立一些特殊的模型,如气-液界面、共培养、3D侵袭模型等。

图.细胞培养小室建立的皮肤模型
如何建立3D细胞培养模型
康宁生命科学是3D细胞培养的领导者,提供多种产品和全面的解决方案。康宁已经在实验室成功建立多种3D模型:干细胞、神经细胞、肿瘤细胞、细胞共培养、3D肿瘤免疫细胞治疗、高通量药物筛选等。
本网站提供3D培养的各种技术资料下载、培训视频,可以帮助您有效地建立3D模型。除此之外,我们也提供线下的技术咨询和操作培训。如果您想咨询相关产品或应用方案,或想报名培训,欢迎随时联络我们:CLSCHINA@Corning.com